We live in a decade of technological discoveries, and dentistry is no exception. Right now, 3D printing and oral scans are completely changing cosmetic and restorative dentistry, including veneers in our Coral Gables dental office.
Dentistry is a complex field. The mouth is tiny, and any work done must be precise to ensure the patient’s comfort and satisfaction. In this environment, 3D technologies and digital software allow for more detailed, accurate restorations, in addition to incorporating new materials or shortening workflows.
Let’s review some of them, how they work, and what we can expect in the future.

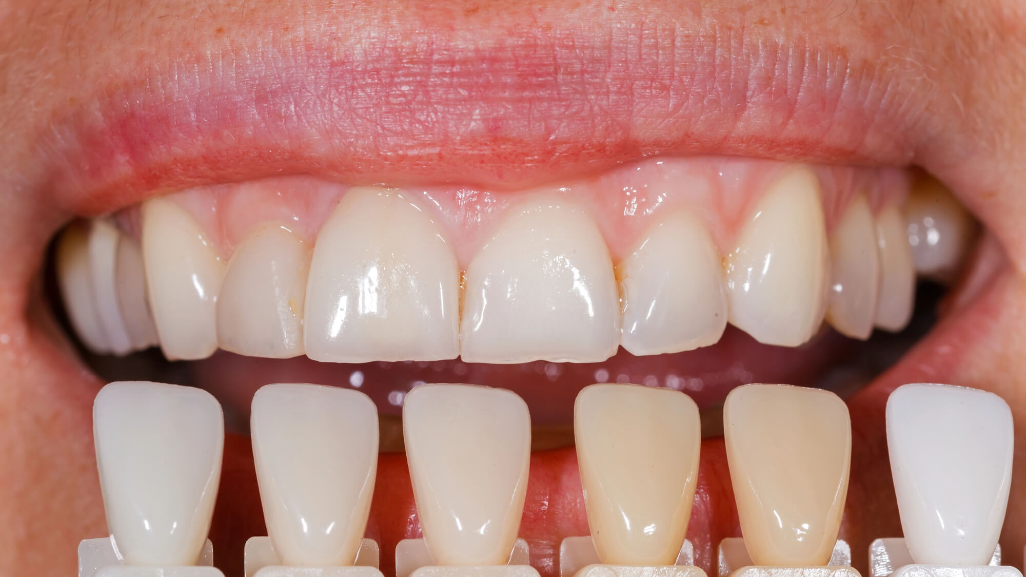
First things first, let’s go over some details about dental veneers and their design process, which will be important later on. Dental veneers are thin, tooth-colored shells placed on top of a tooth to cover imperfections such as chips, stains, teeth gaps, misalignments, or missing parts.
To do so, they’re permanently bonded to your teeth. Veneers are an easy, cost-effective way to improve your cosmetic appearance, so many patients choose to get between six to eight veneers to design an even, harmonious smile.
The normal process of getting dental veneers typically involves several steps:
Dental veneers are a highly popular solution for many patients. They’re easy to design, cost-effective, and don’t take as much time as other dental restorations like crowns and tooth implants. However, there are three technologies that can make its process even better:
Intraoral scanners, or digital scanners, are an alternative to traditional, analog methods of making an impression. This conventional hands-on fabrication process relies on various tools and strategies to create a duplicate of your mouth.
For example, in wax-ups, you needed to bite into a paste that would keep the shape and length of your smile. Then, the impression is sent to a professional lab that’ll develop your veneers. They’re often made of materials like porcelain or composite resin.
The problem with this method lies in three main factors:
On the other hand, a 3D mouth scan takes footage of your mouth from the inside. This helps optimize a dental office’s workflow, improve hygiene practices, and provide patients with a better experience.
Nowadays, intraoral 3D scans are pen-like tools your dentist uses to take an image of your smile. The process just takes a few minutes, and this is what it looks like:
Digital design software complements 3D scans. The name stands for “Computer-Aided Design” (CAD) and “Computer-Aided Manufacturing” (CAM). This system helps design, plan, and ultimately create accurate dental prosthodontics based on real scans of a patient’s mouth.
With CAD/CAM, dentists can easily design dental crowns, bridges, veneers, onlays, inlays, dentures, and other implant-supported prostheses perfectly fabricated to fit you. Additionally, it enables patients to see their potential end-smile before even starting the process.
When it comes to veneers, digital design software helps create long-lasting shells that are natural looking and harmoniously match your entire mouth, from shape to thickness and color.
The CAD/CAM process for making dental restorations can last between 45 minutes and a few hours. If your dentist is going to create your dental prostheses with CAD-CAM technology, here's what you can expect:

Some dental offices go a step further and use 3D technology to print your veneer from the CAD/CAM images. The software creates a document that’s sent to the 3D printer that carves the veneers layer by layer.
The material user is a small disc of zirconium—a tough, opaque material increasingly being used alongside porcelain. Then, a series of narrow drill-like cutters carve out the veneers. The goal of these blades is to recreate the grooves of a natural tooth’s surface.
With 3D-printed veneers, patients can have custom-fit veneers that look natural and offer greater durability in no time.
This year, a 3D manufacturer called Boston Micro Fabrication made headlines by creating the world’s thinnest cosmetic dental veneer, the UltraThineer. According to BMF, traditional veneers are about 0.5 mm thick. On the other hand, ultra-thin veneers are a mere 100 µm thick – three times thinner than conventional veneers.
Due to the thickness of traditional veneers, dentists have to fill a patient’s tooth to make room for them. However, UltraThineers reduce the need for filling a tooth before placing it. This also makes the treatment reversible.
Moreover, these thin veneers are made from durable materials, like zirconia. Although they have yet to enter the U.S. market, this announcement is a valuable example of how 3D printing technology is changing dentistry.

3D-printed veneers aren’t necessarily better than traditional methods. These techniques are very recent; some, like UltraThineers, were just announced this year. That means the dental professional’s job is to analyze the pros and cons and consider what it brings to each situation.
Here at Coral Gables Dentistry, we consider each patient unique. The goal is to offer various services so we can provide them with the individual, specific care they need.
If you want to learn more, give us a call!

We value your time, so we always run on schedule, respecting your commitments, with no double bookings and minimal wait times. Experience dentistry like never before in our award-winning clinic.





