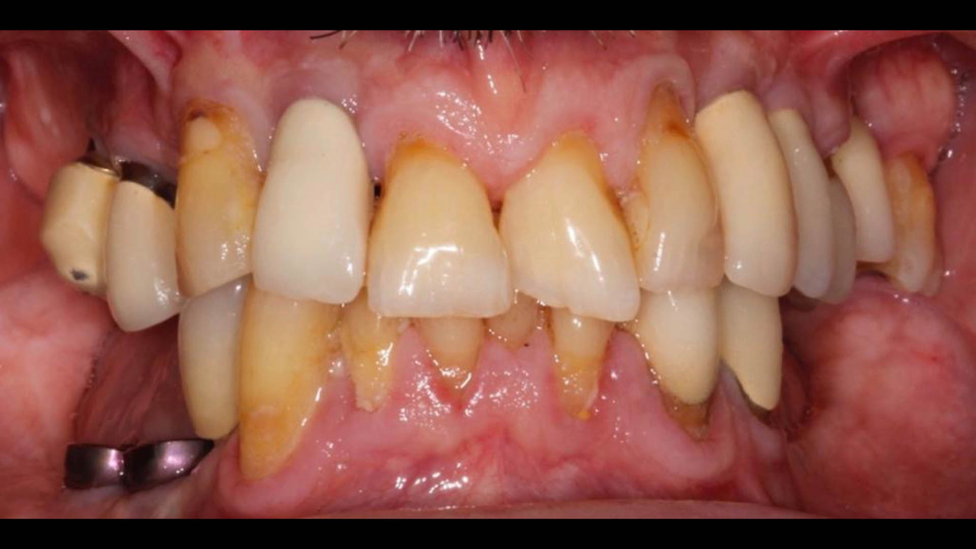
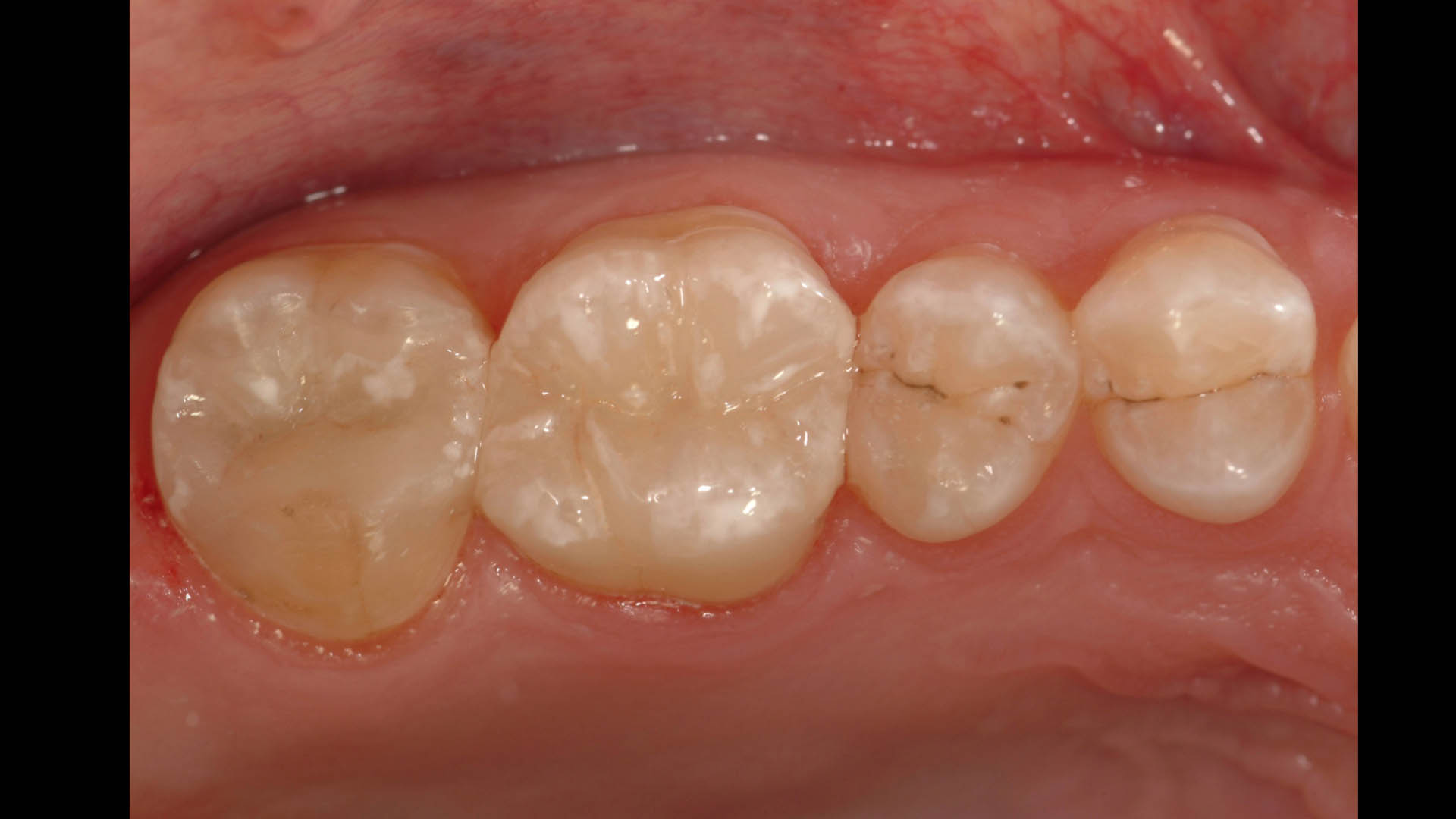
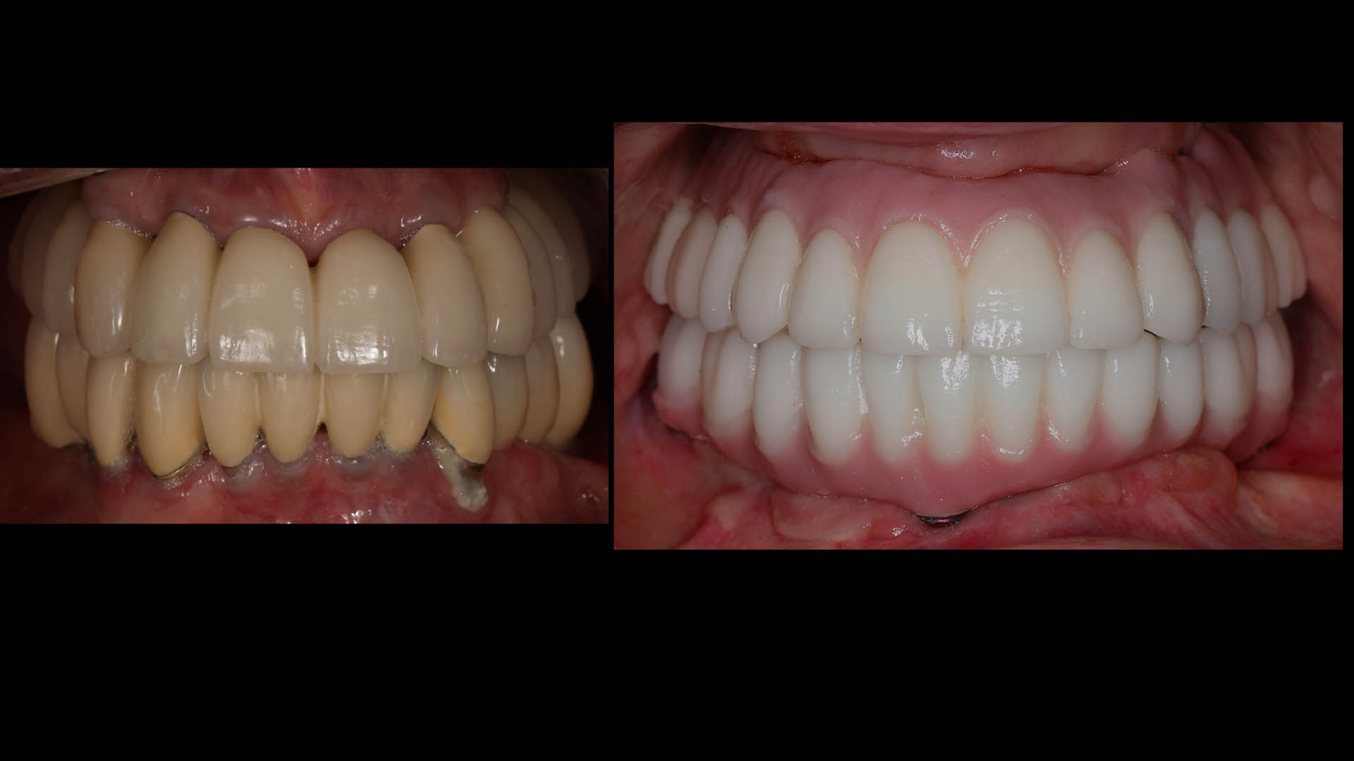
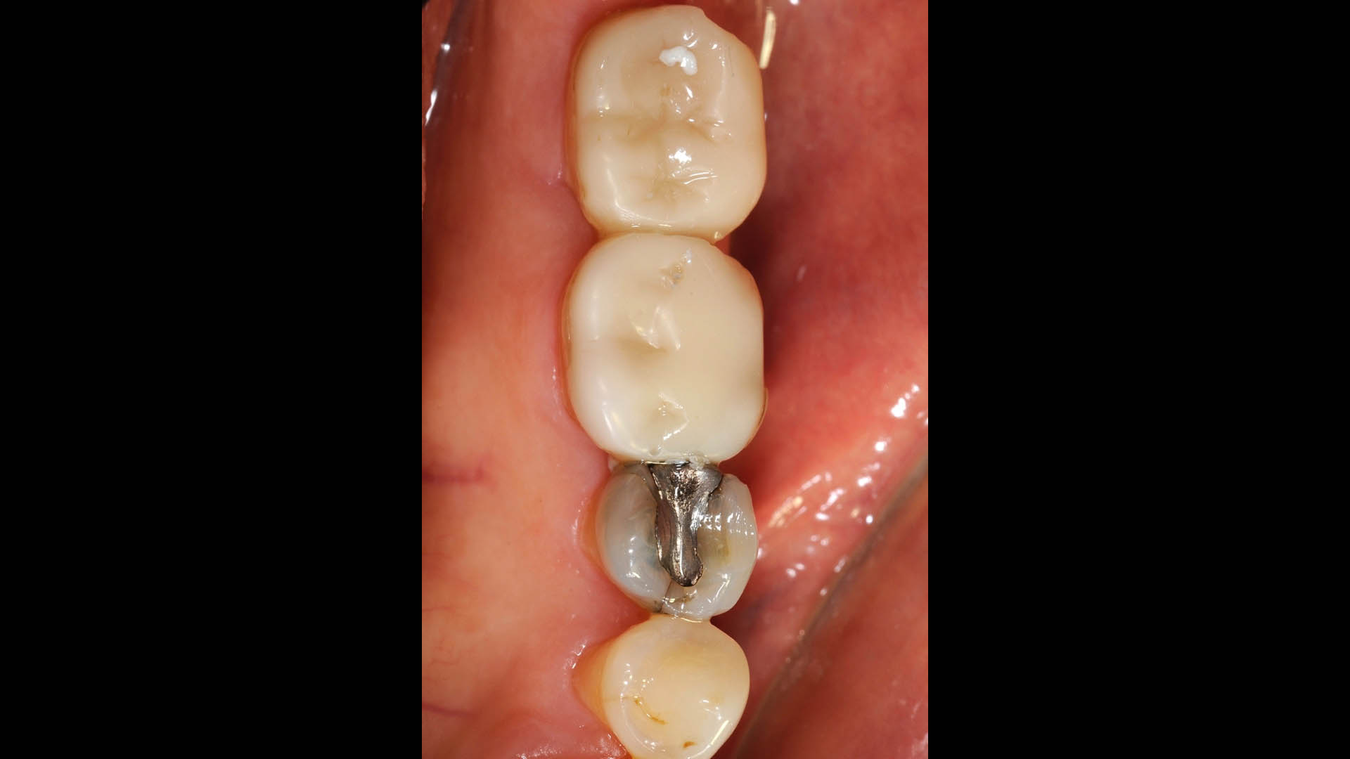
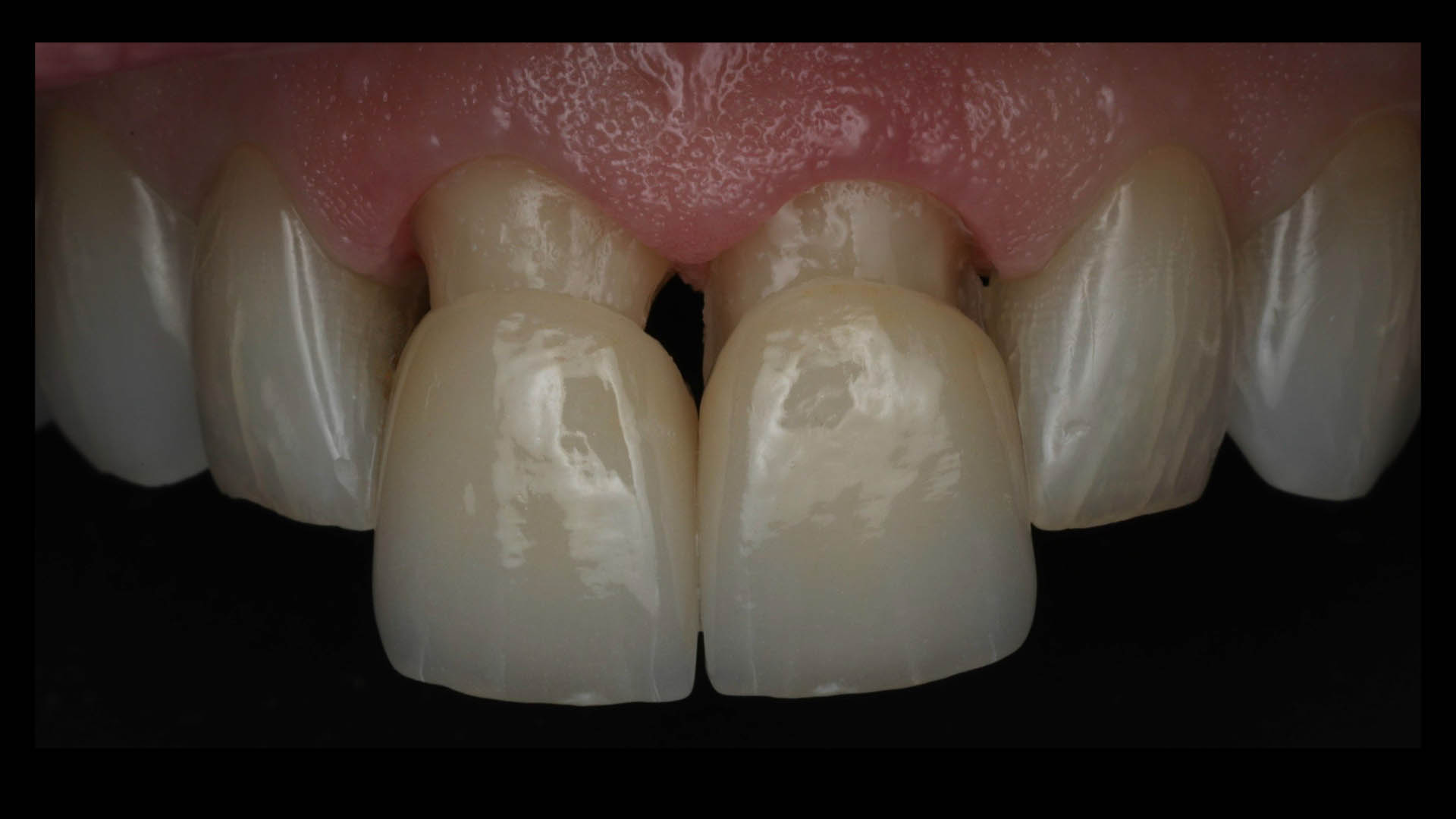
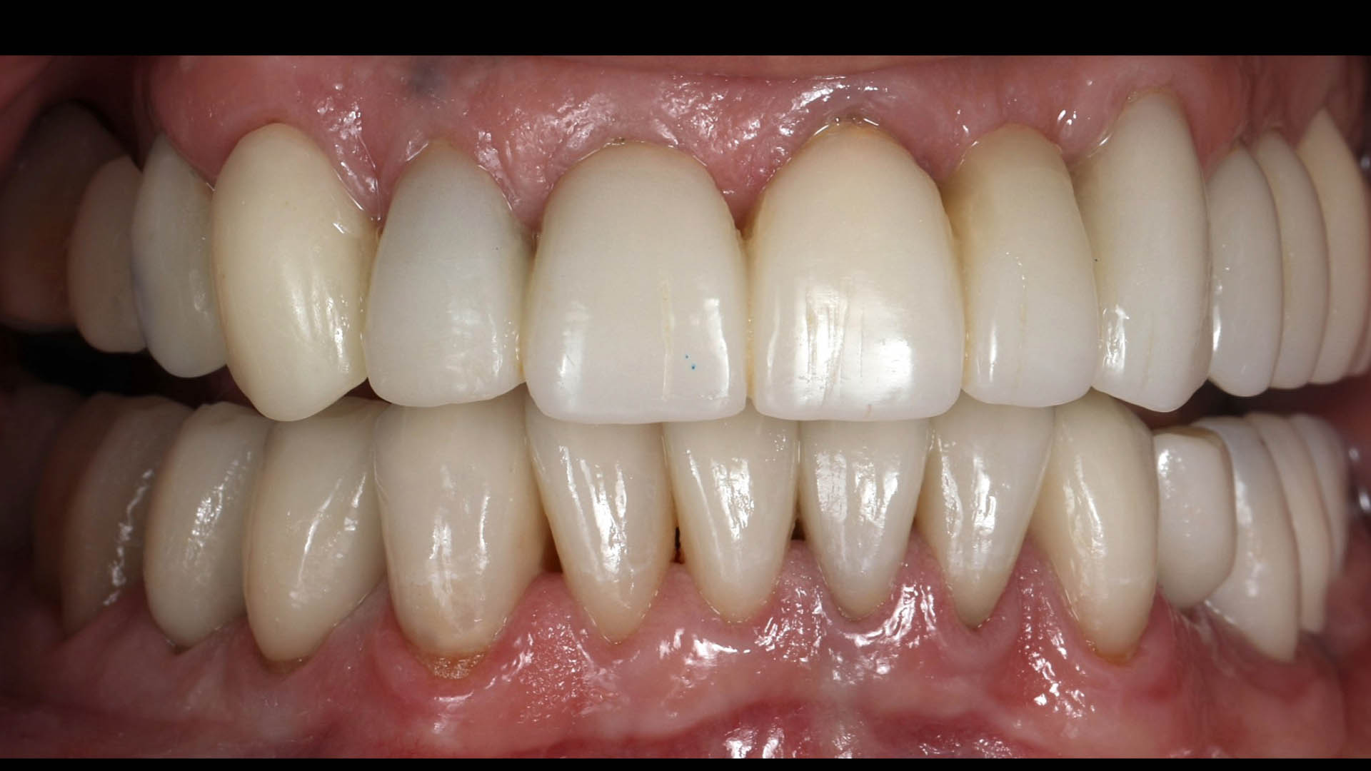
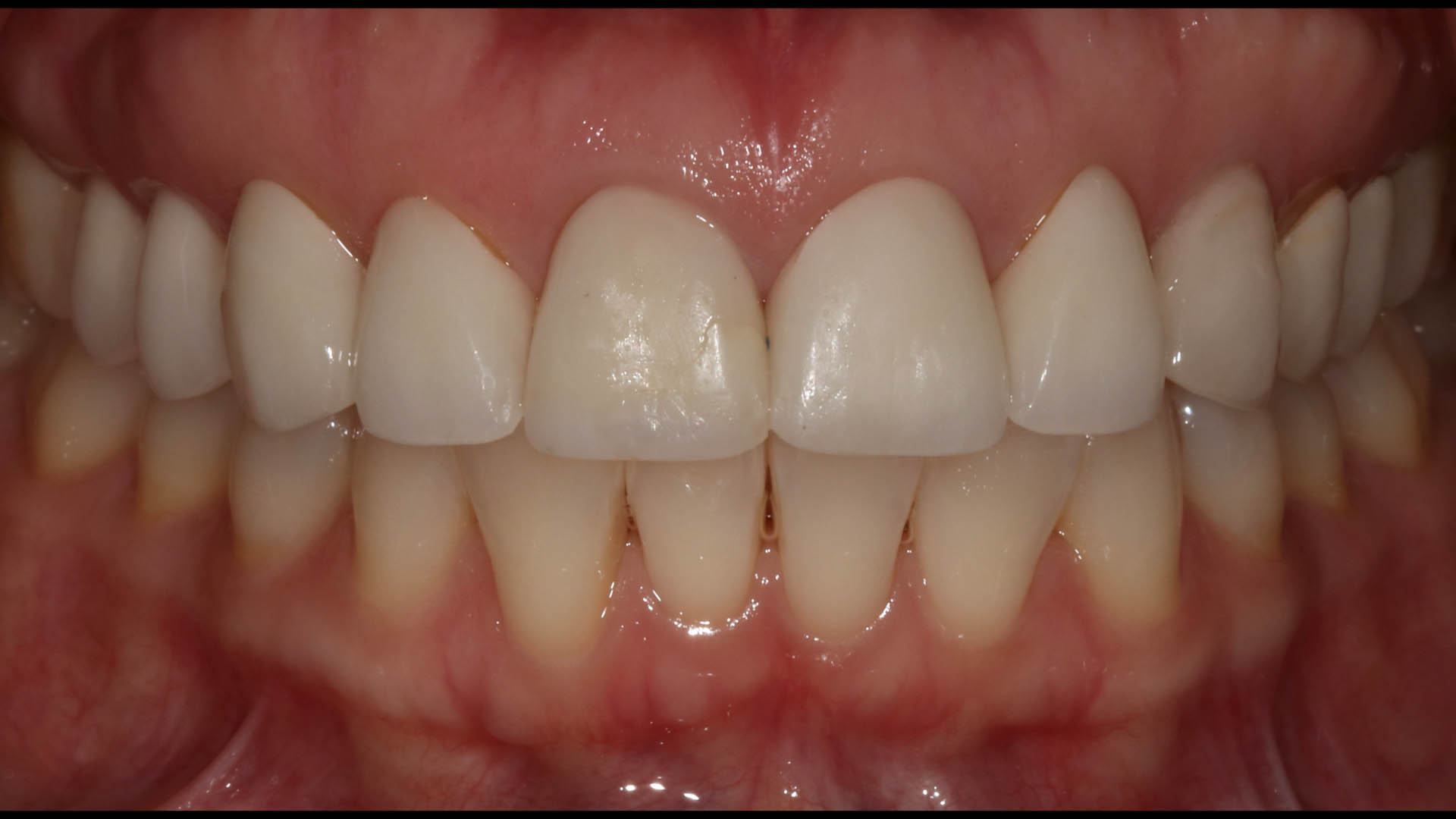
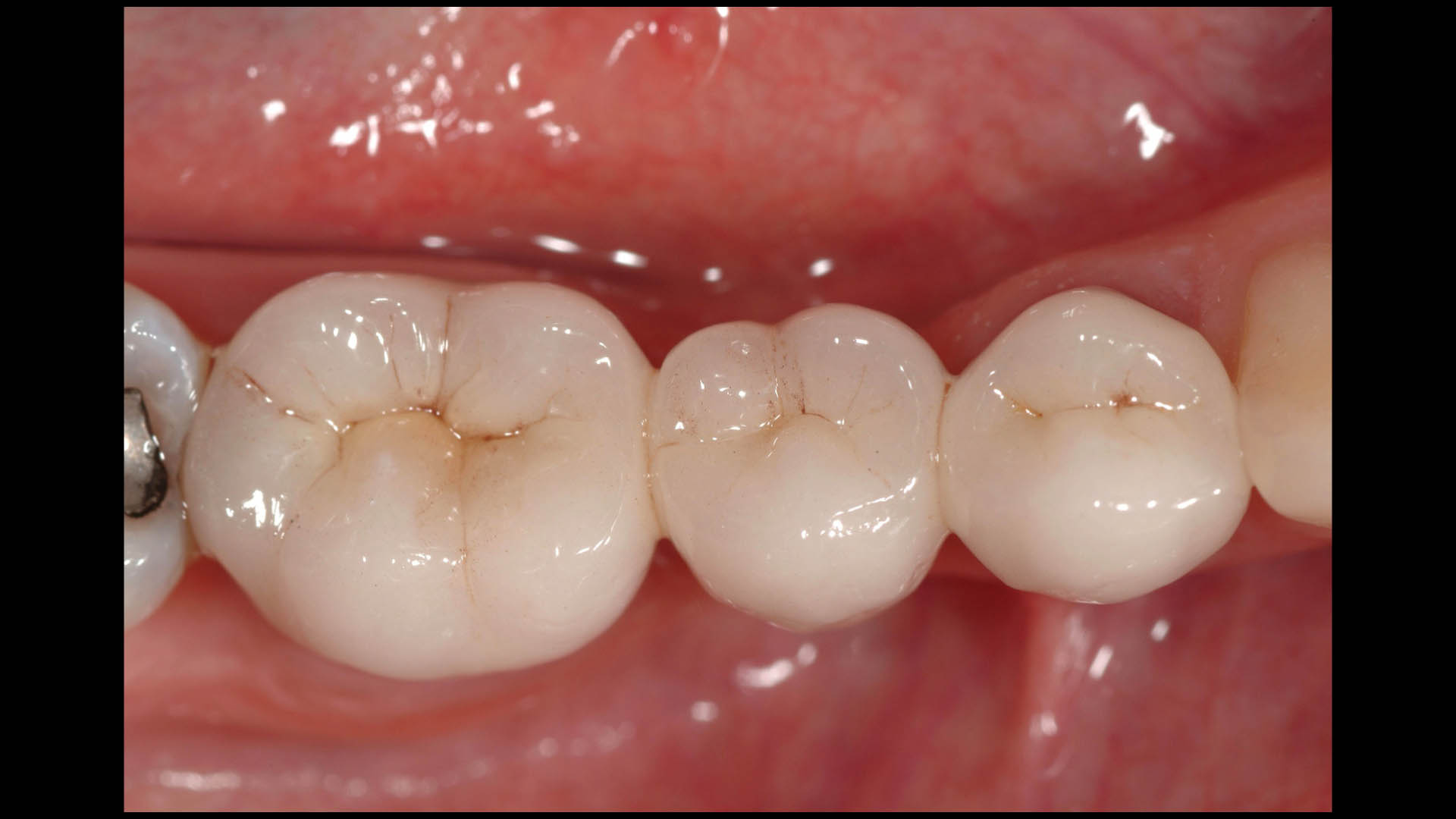
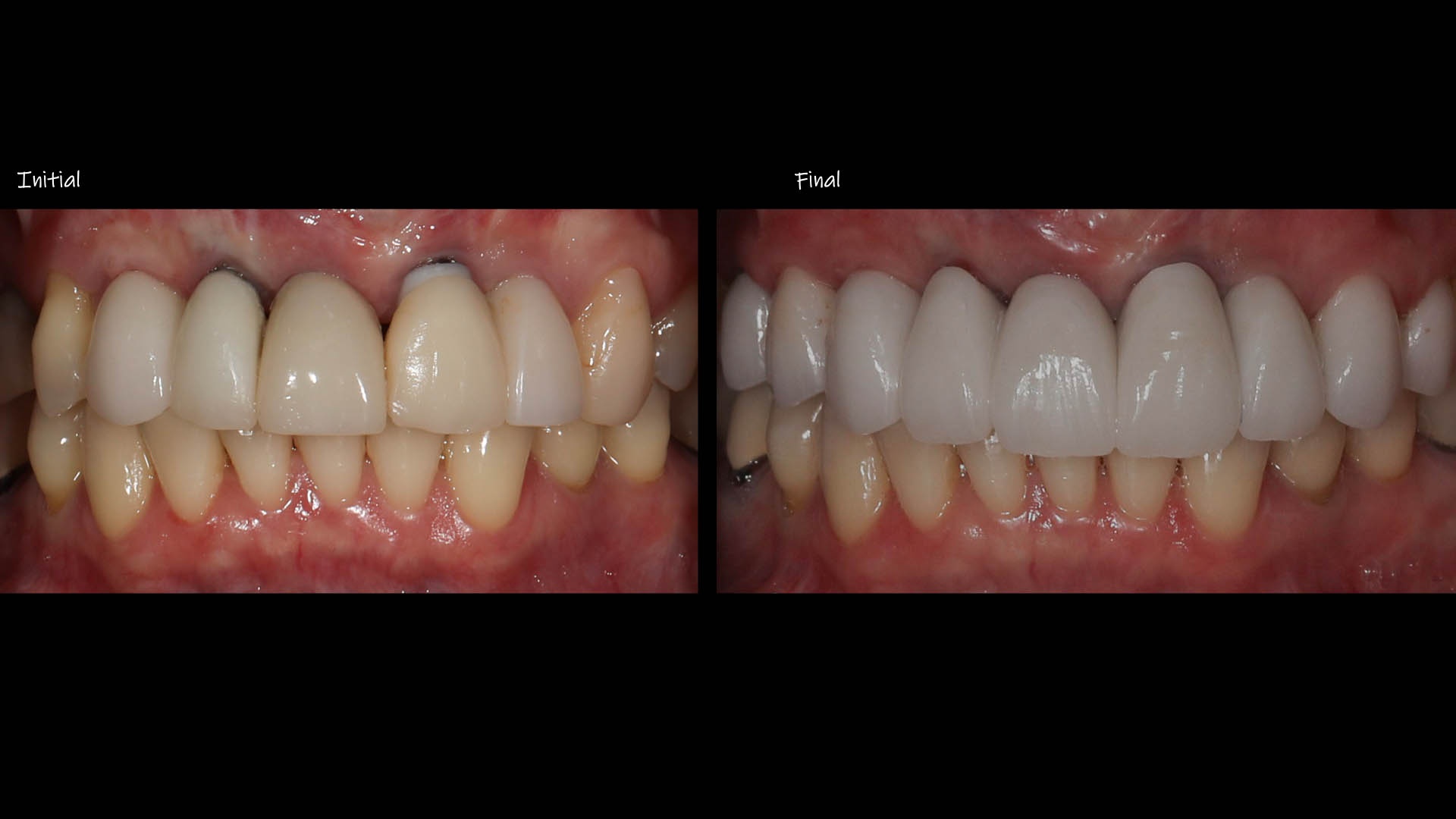
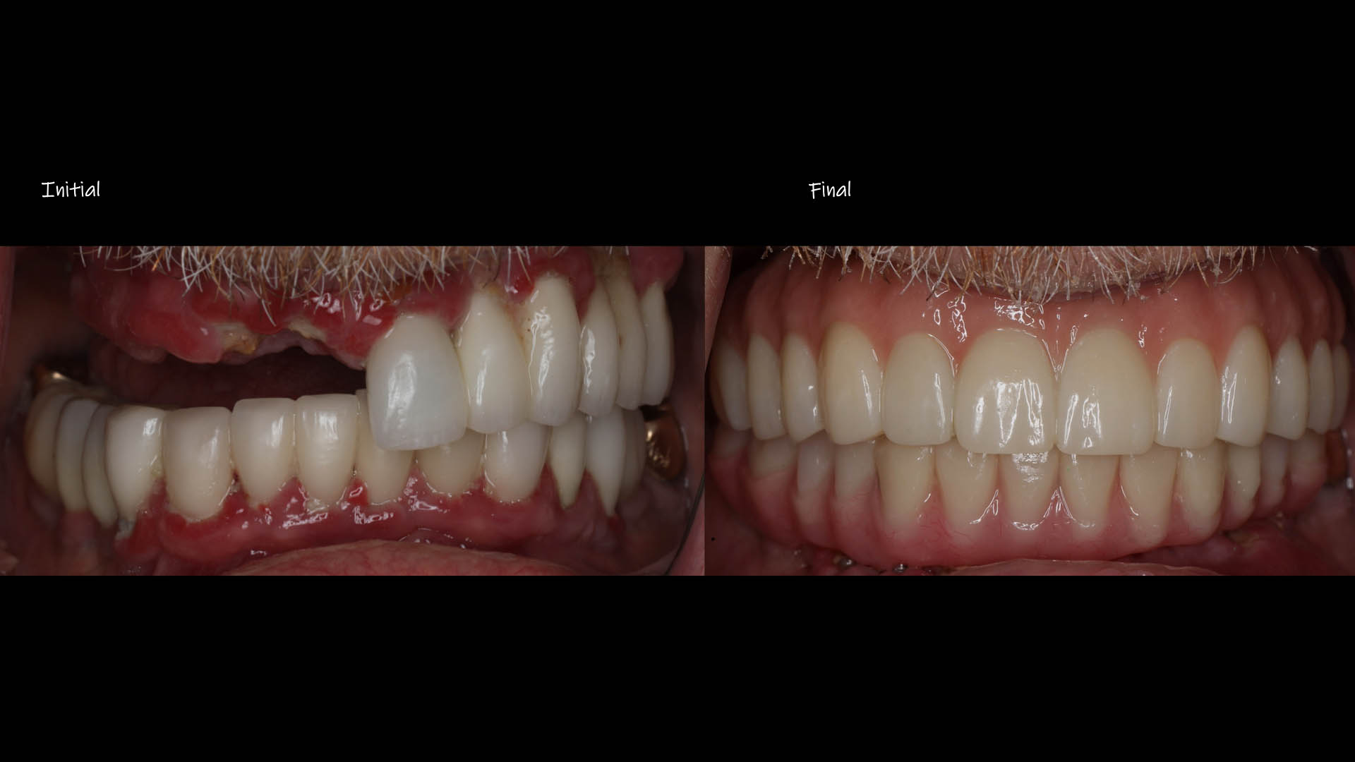
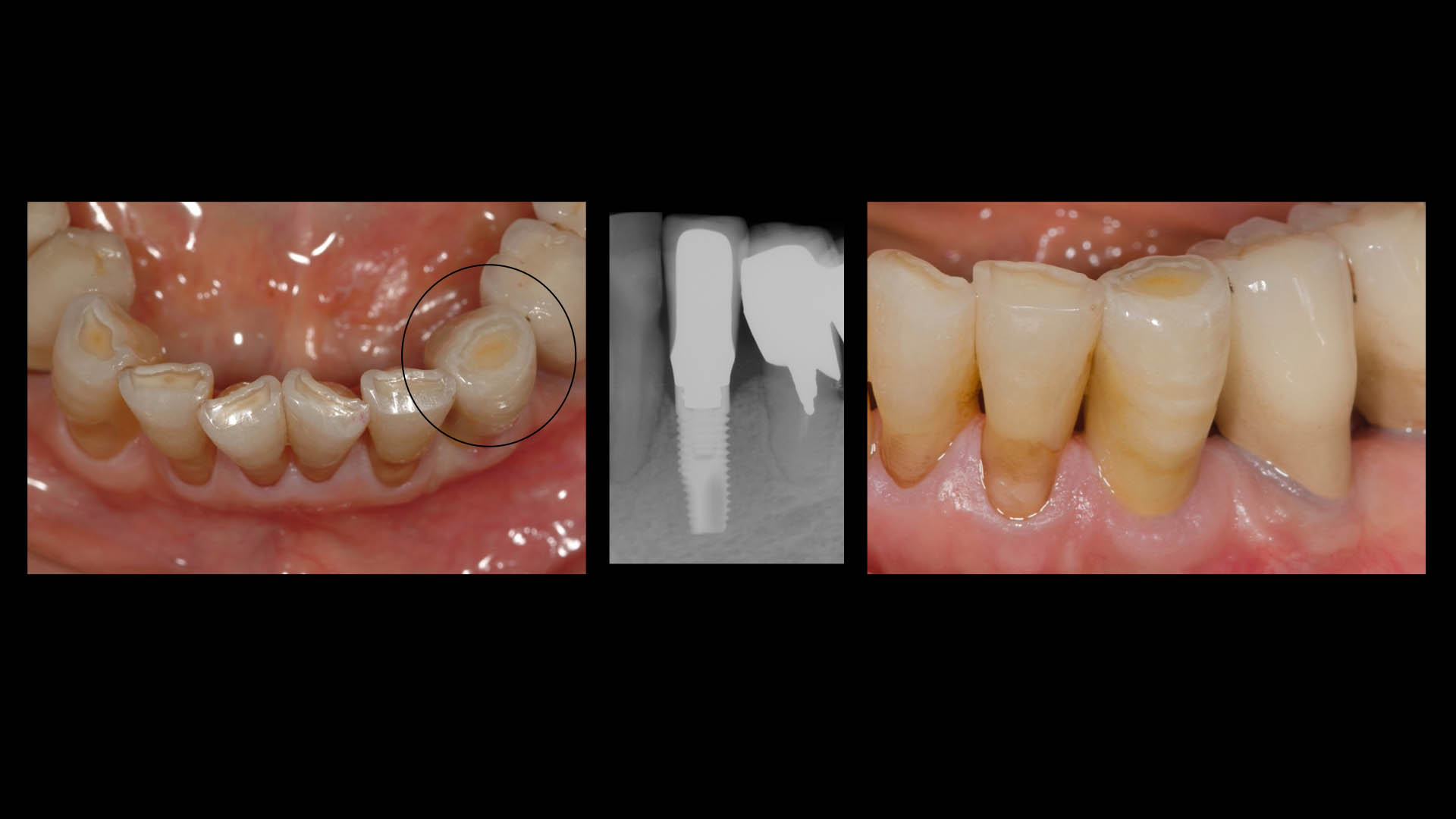
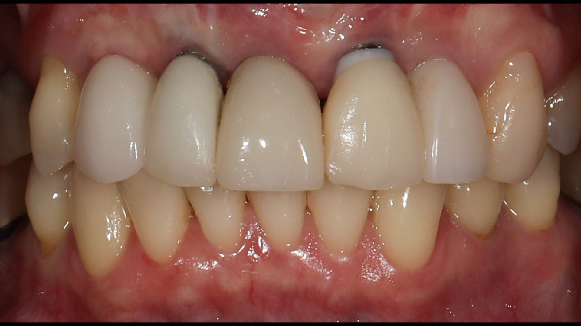
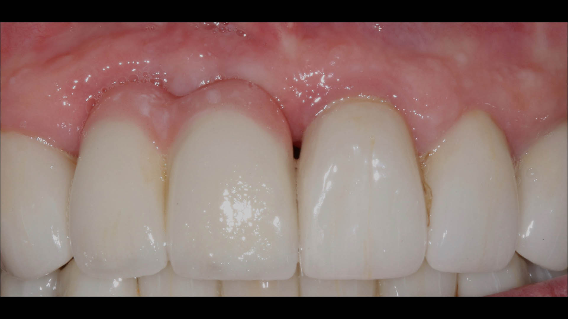
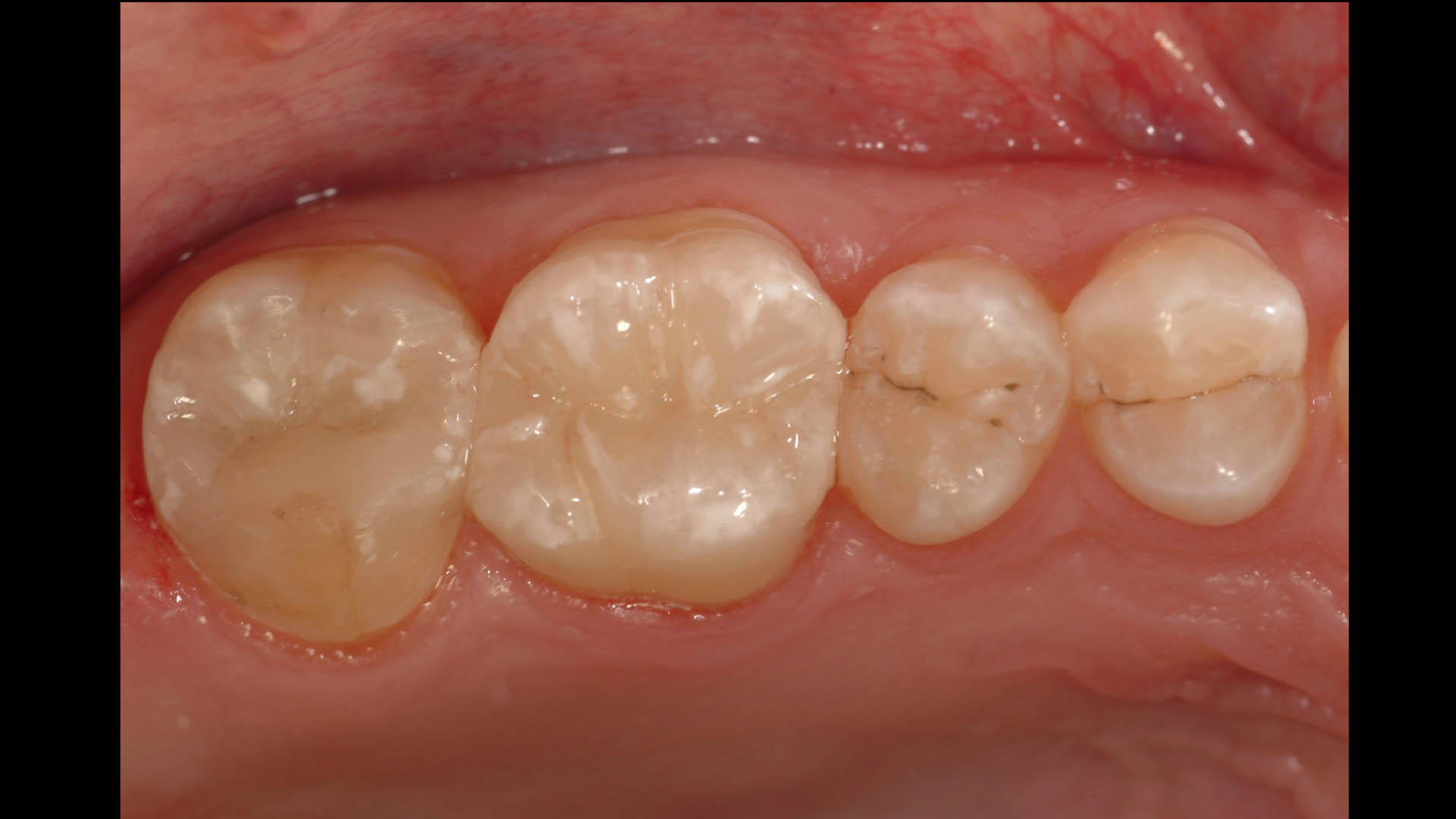
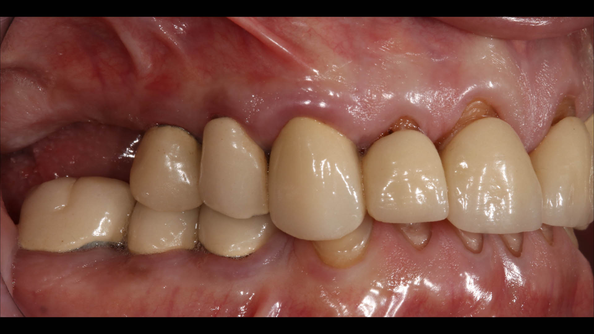
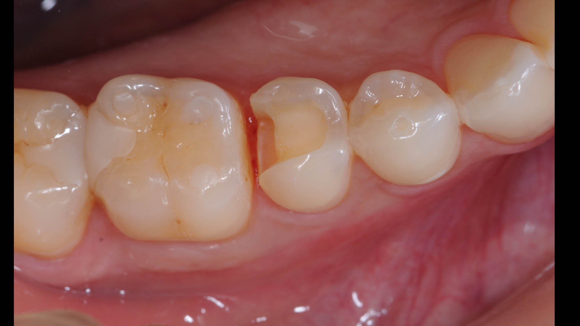
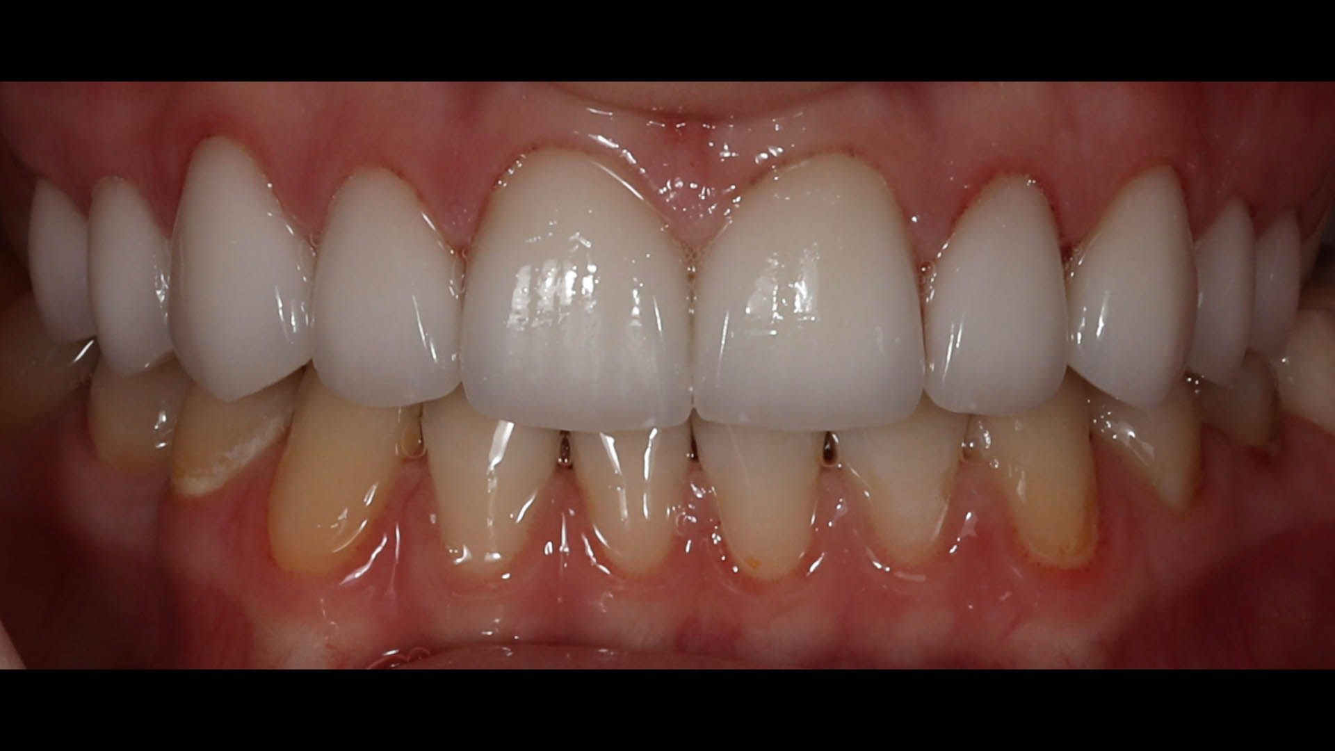
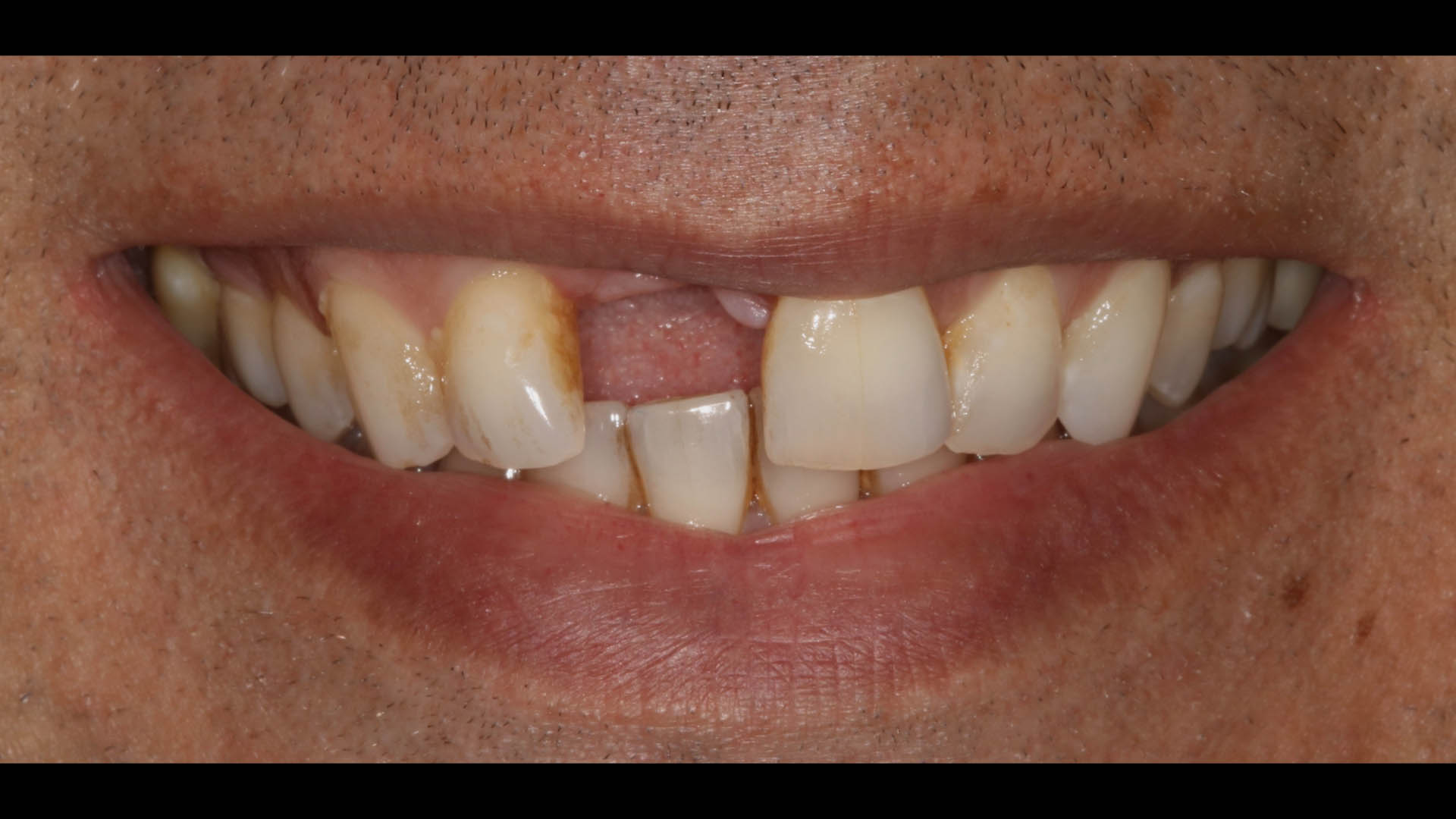
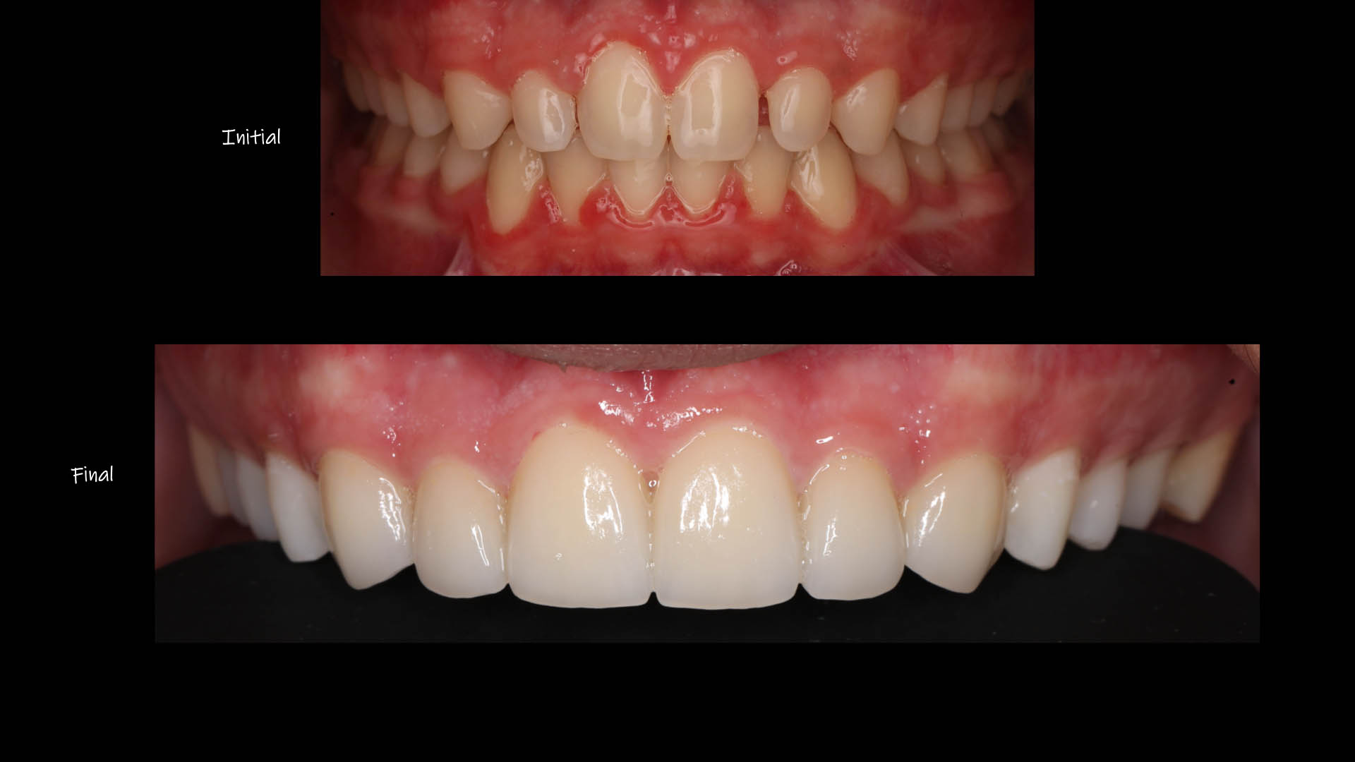
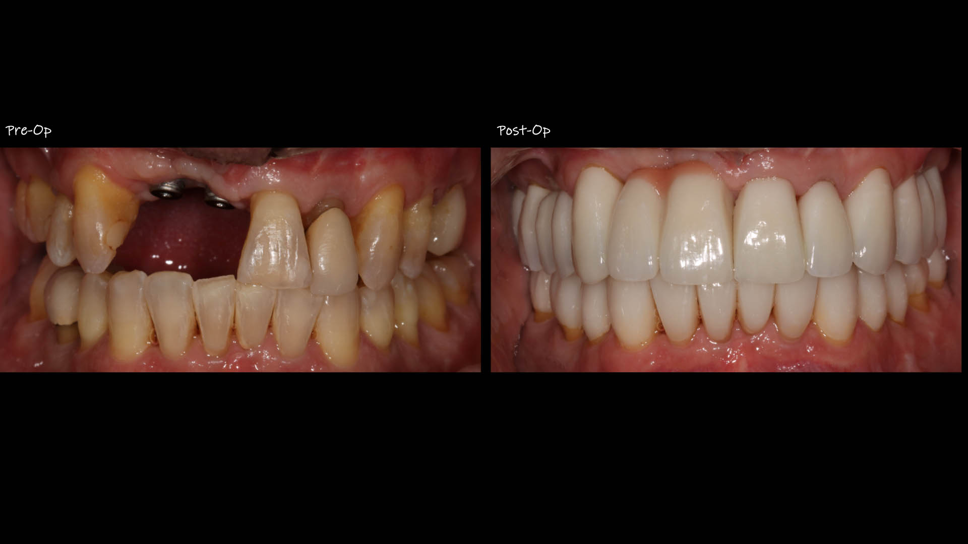
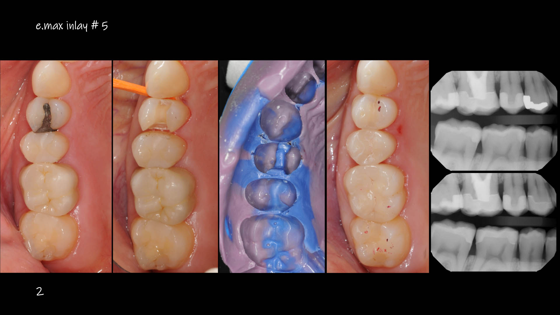
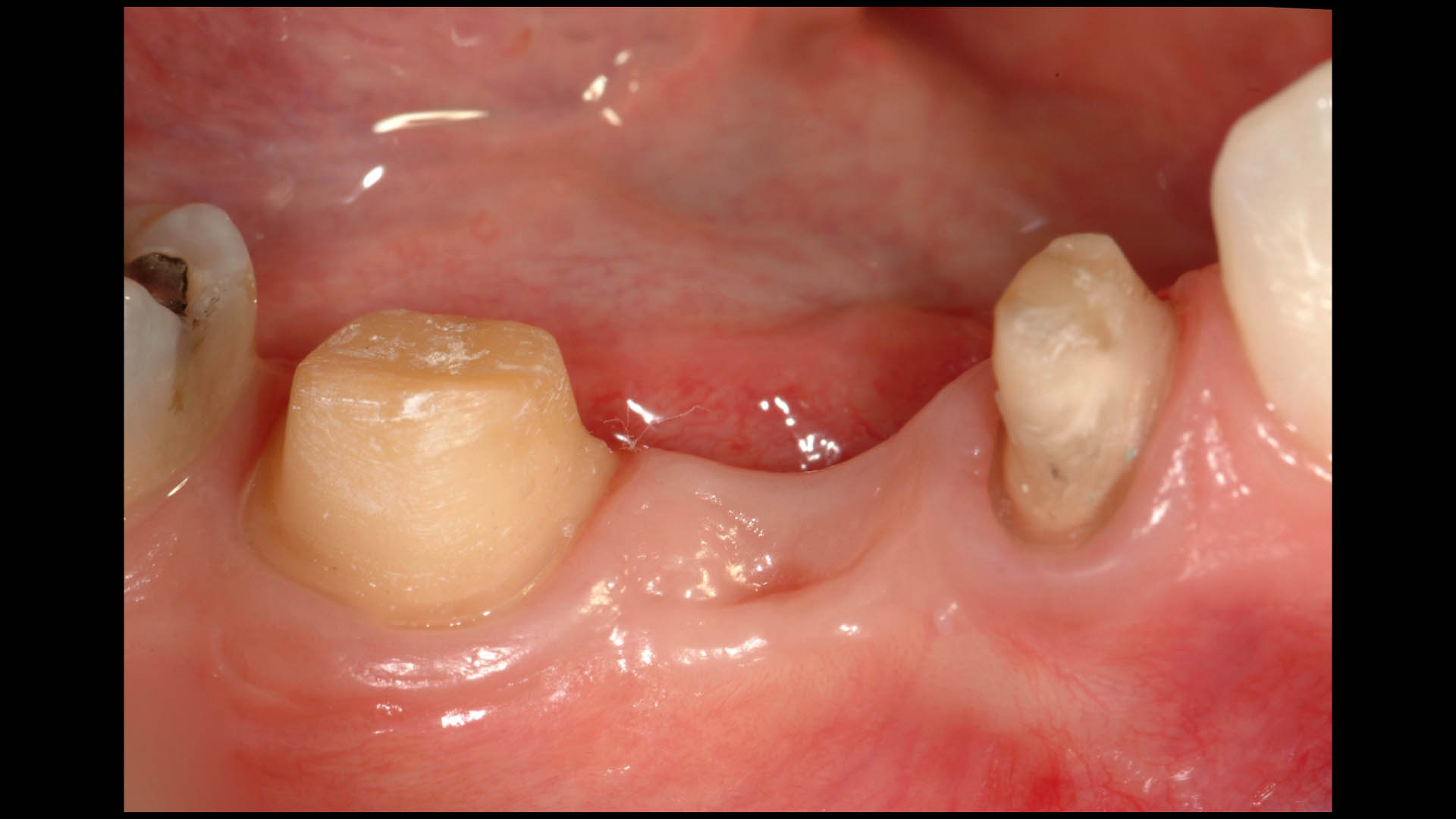
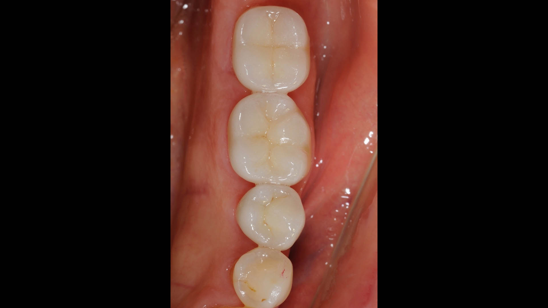
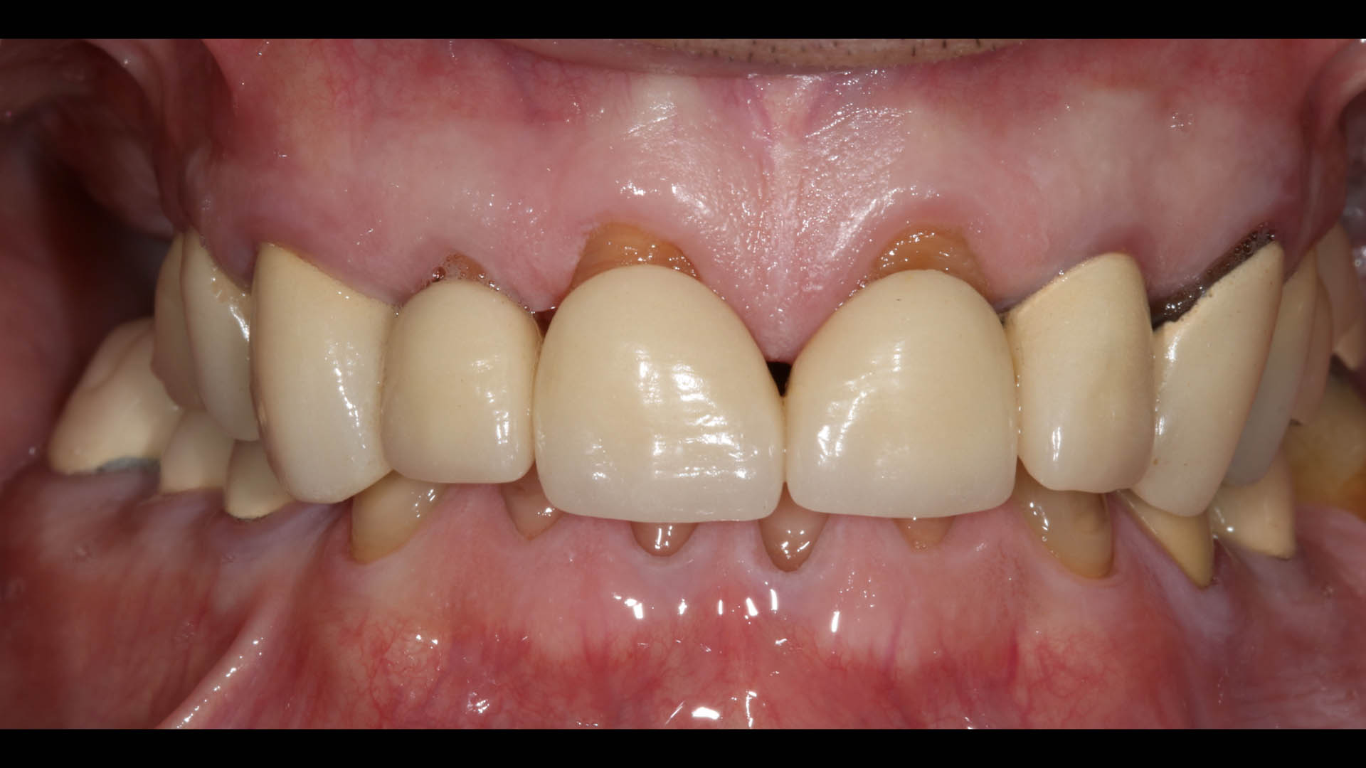
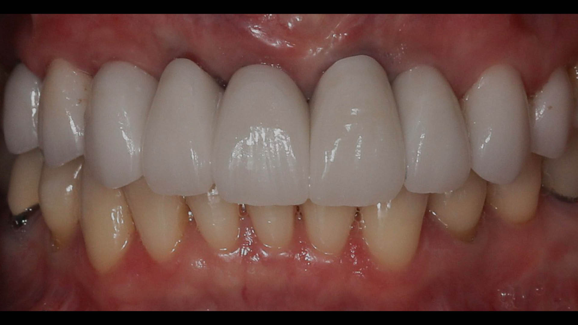
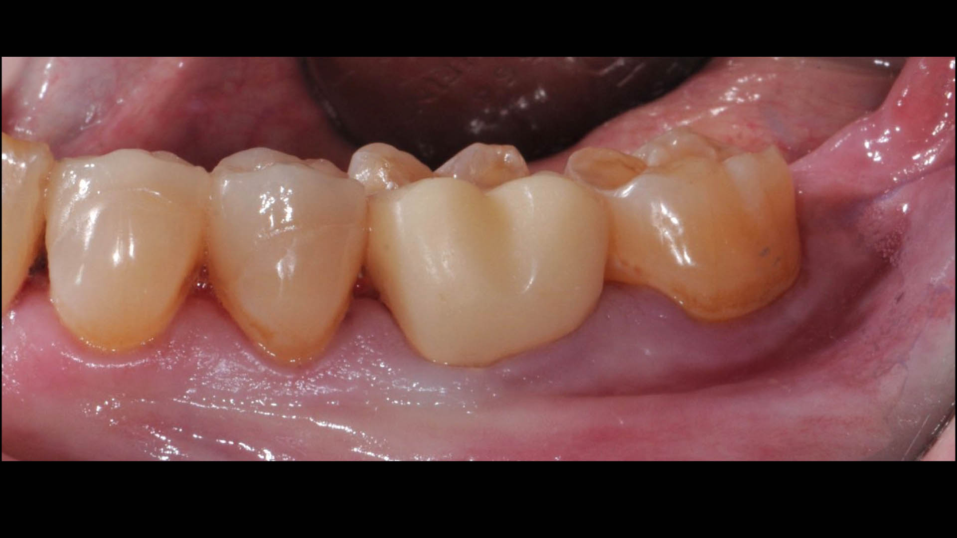
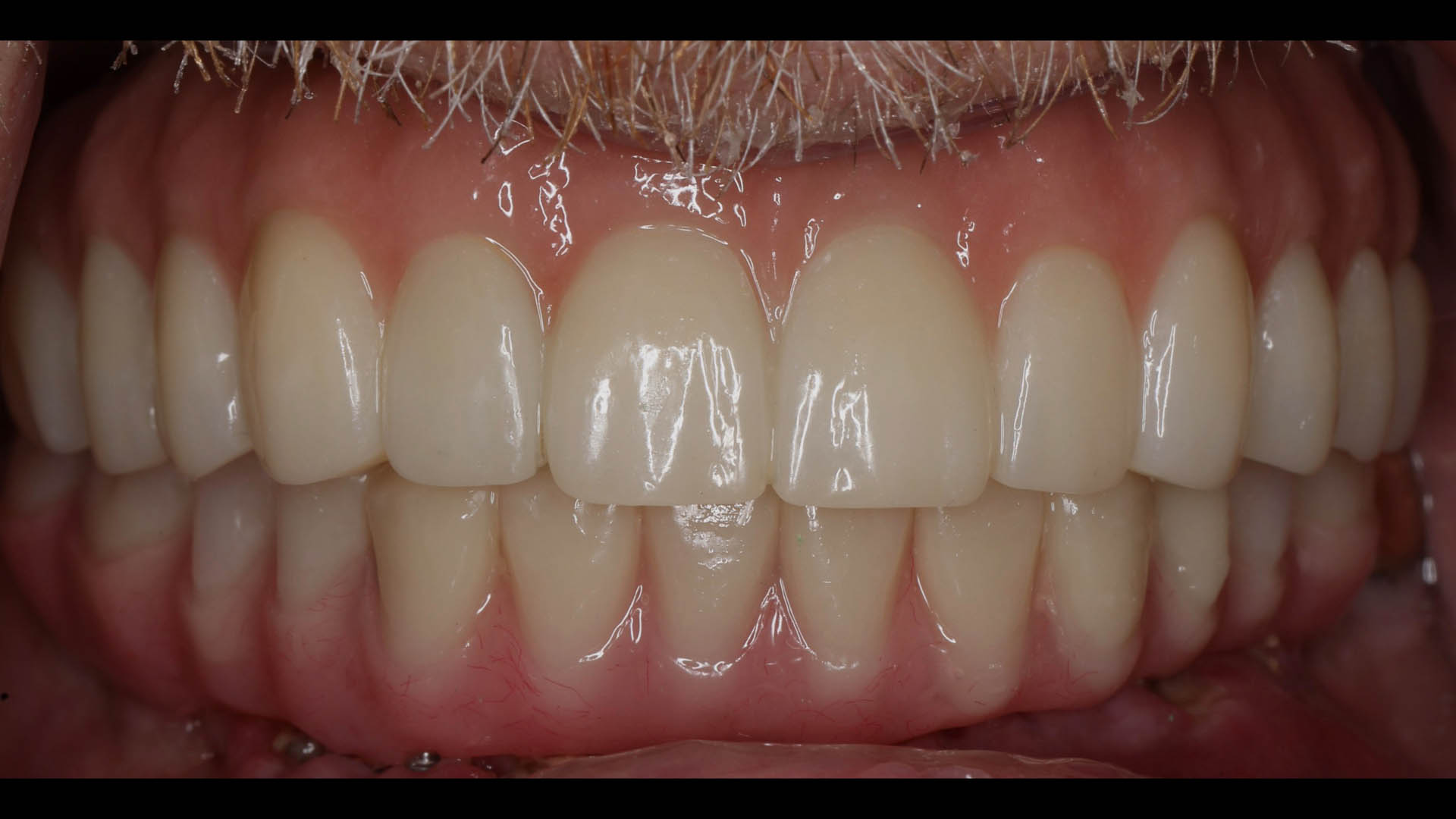
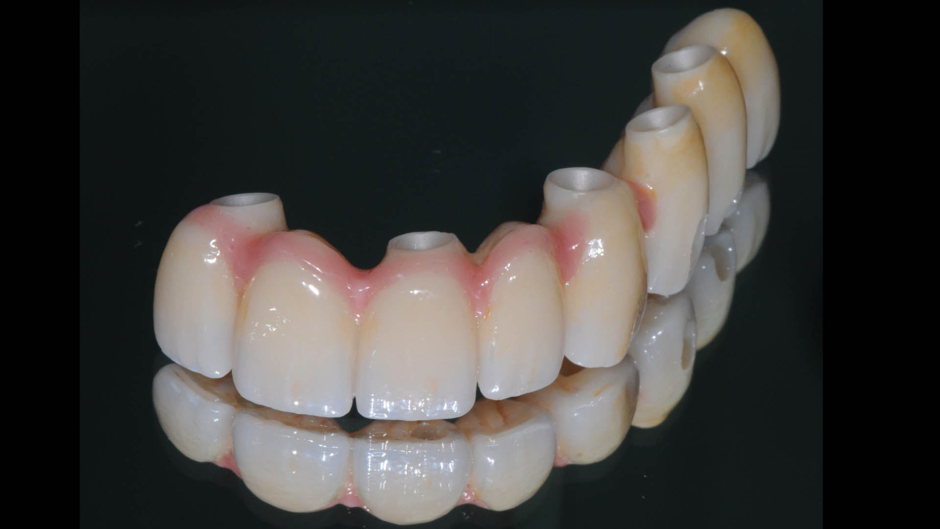
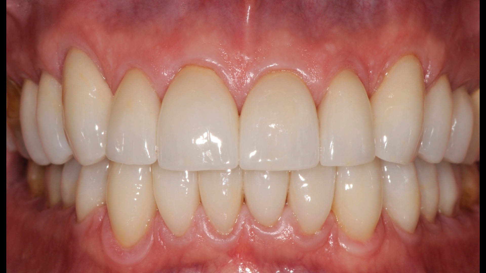
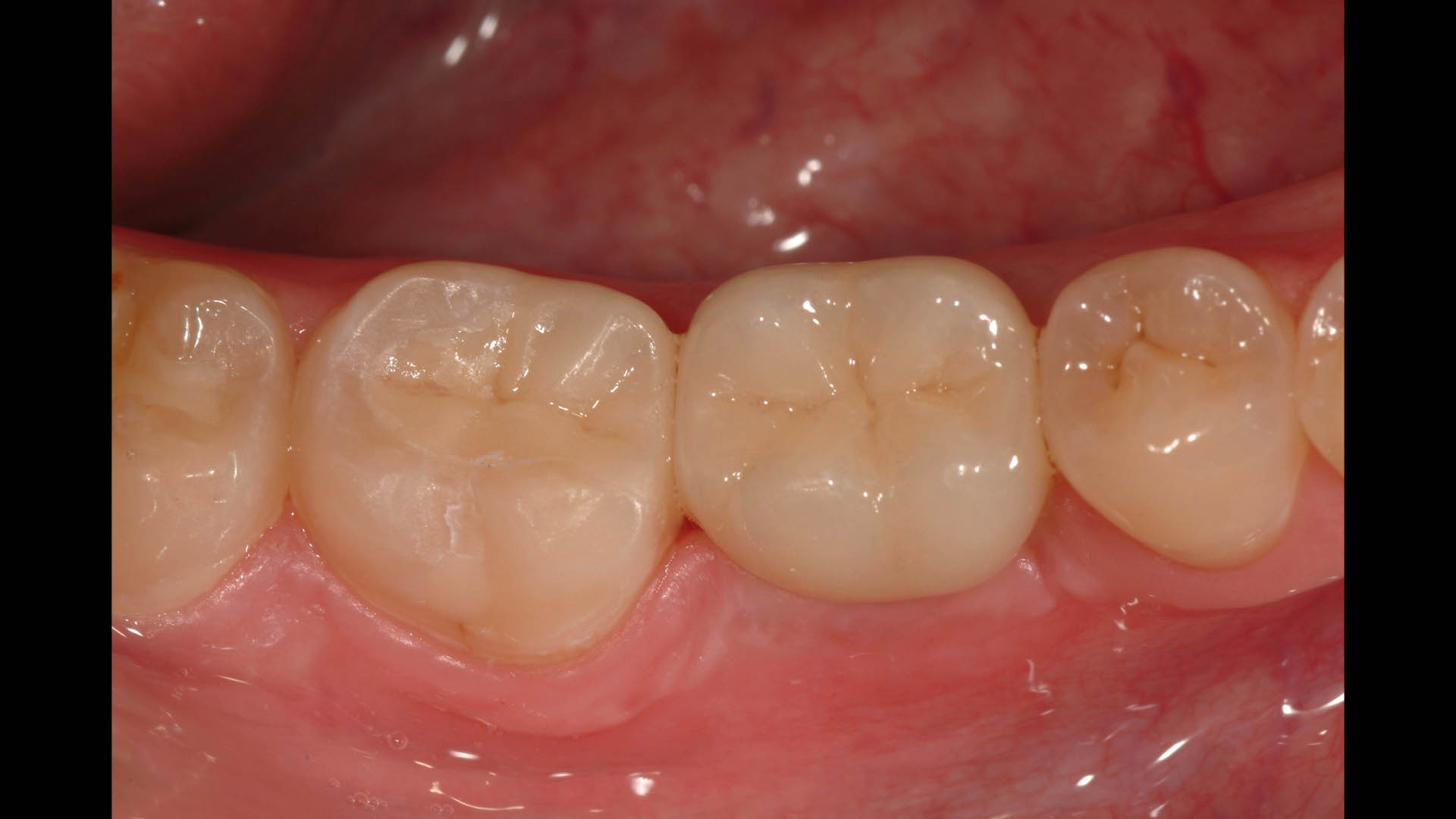
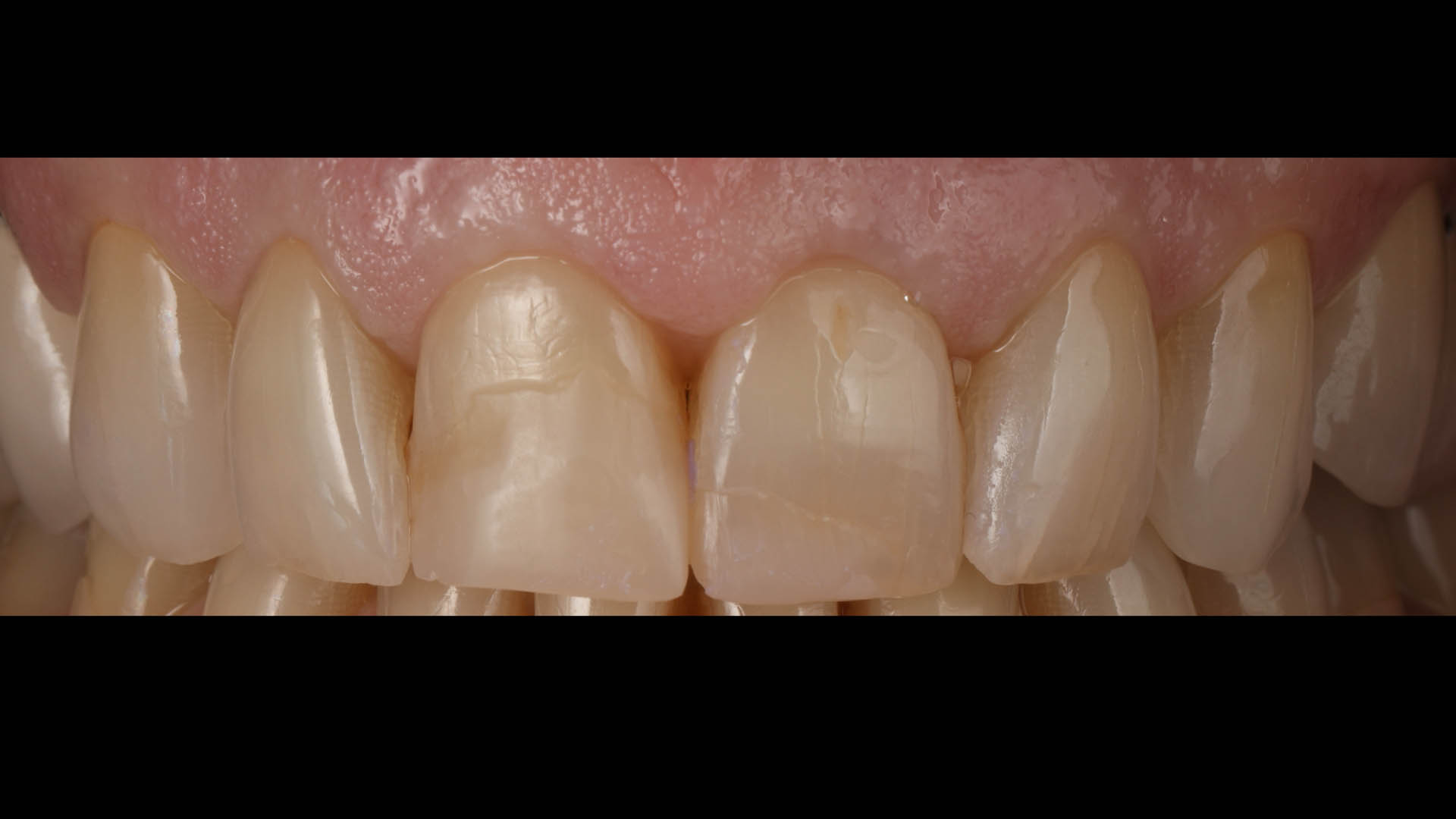
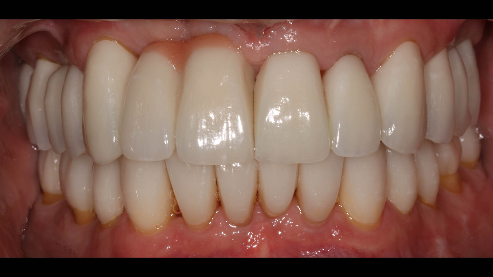
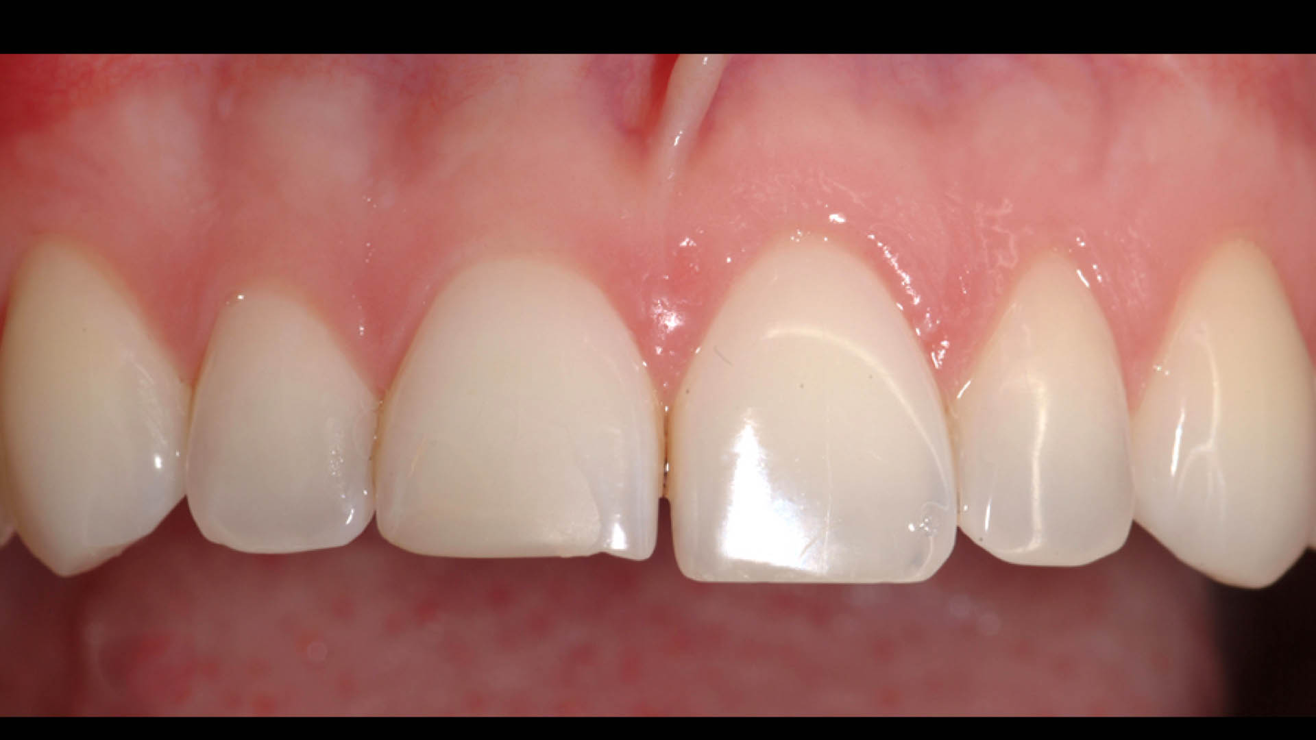
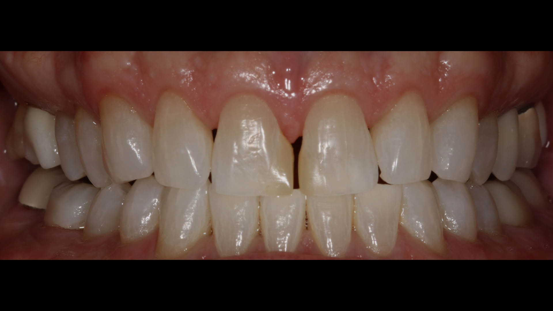
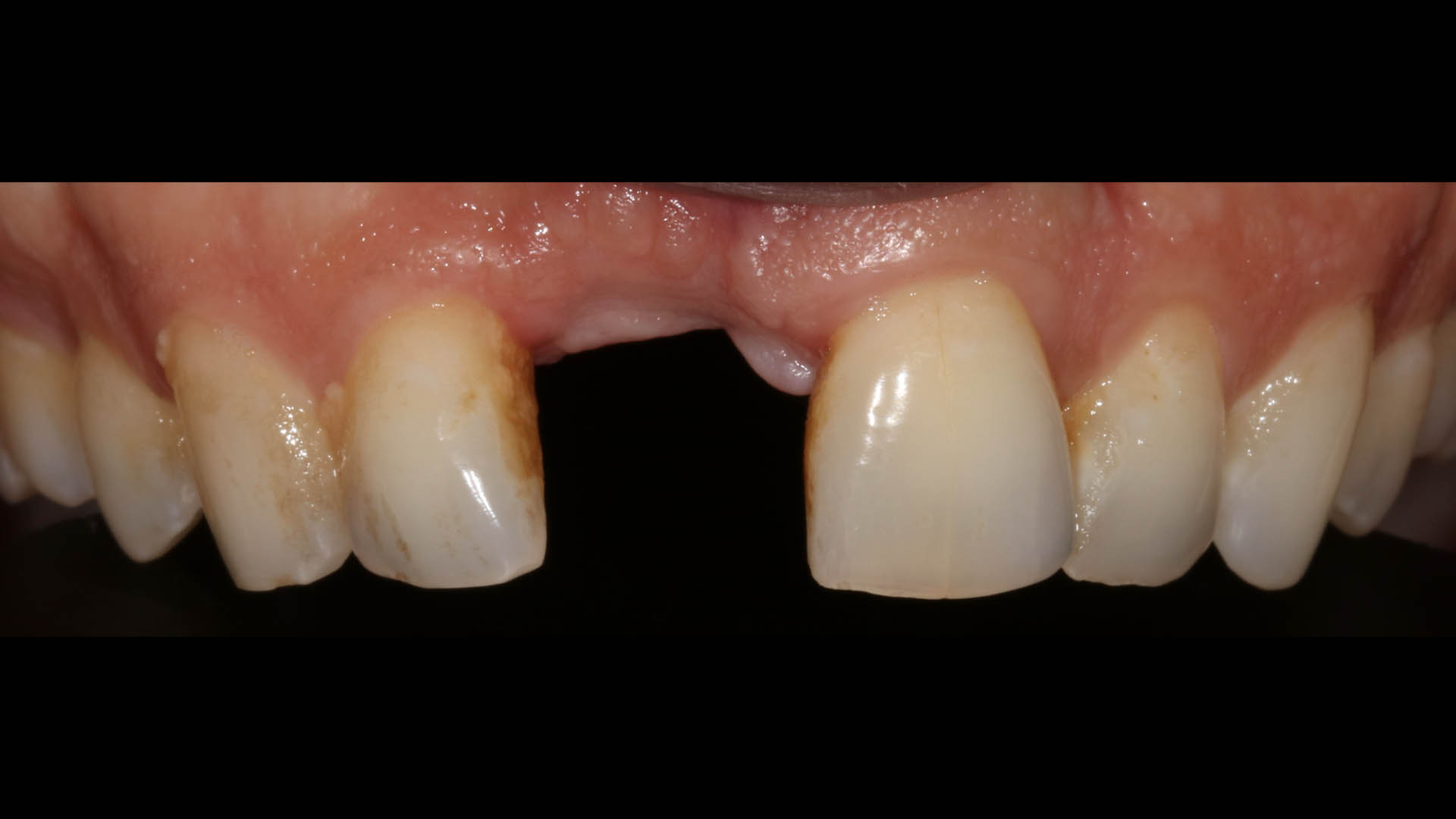
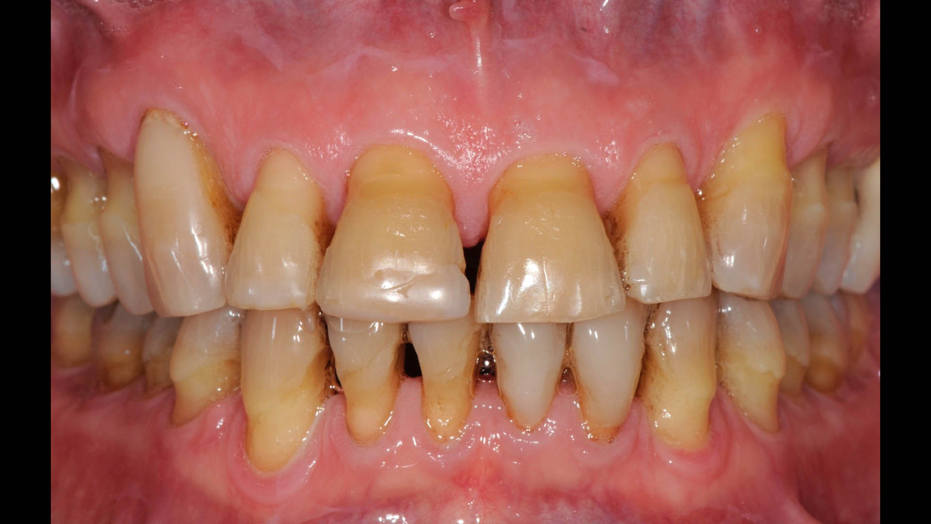
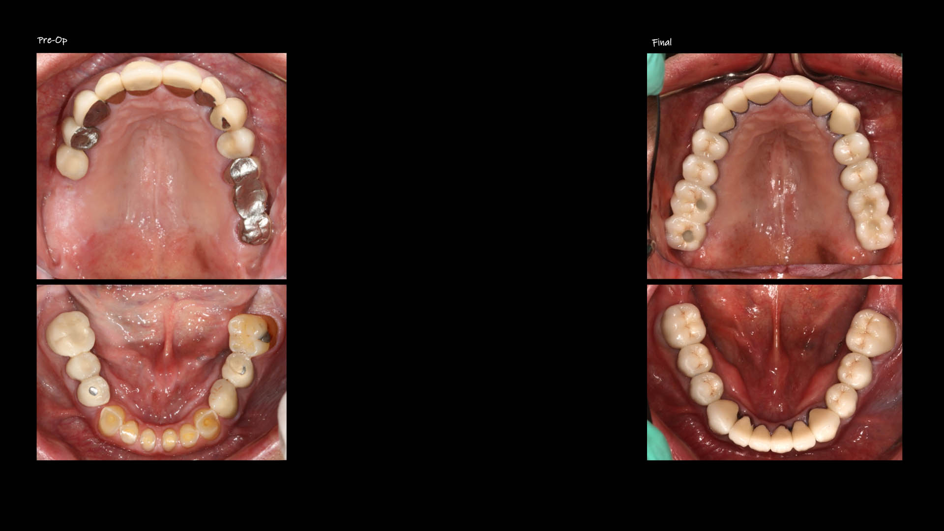
Take a glimpse into the magic of Coral Gables Dentistry through our before and after pictures. See firsthand the incredible smile makeover transformations that have brought confidence and joy to our patients.
We value your time, so we always run on schedule, respecting your commitments, with no double bookings and minimal wait times. Experience dentistry like never before in our award-winning clinic.





